24岁的小张(化姓)年纪轻轻,却有个“生猛”的饮食习惯,喜欢吃生鱼片和活珠子(孵化中的鸡胚)。不过,最近他却被自己的这个爱好“撂”倒了:胸闷得喘不上气,体温最高飙到38.4℃。上医院一查,竟确诊肺吸虫病!
24岁男子查出胸腔大量积液
姐姐一句话给医生指明方向
“医生,我最近胸闷得不行,这几天还发烧了,会不会得肺炎了?”近日,24岁的小张在姐姐的陪同下来到宁波市中医院急诊。小张说,他十天前就发现自己胸口“闷闷”的,偶尔还会咳嗽几声,刚好那段时间身边有同事感冒,便笃定自己得了感冒。“我主要是胸口闷,咳嗽咯痰比较少,精神状态也还可以,就没太着急。”小张“自我诊断”后,先吃了几天感冒药,但胸闷症状一直没有缓解,到后面几天,甚至还发起烧来,体温最高时达到38.4℃。在姐姐的劝说下,他前往医院就诊。
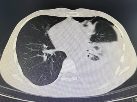
胸部CT检查结果让所有人警惕:小张左侧胸腔积聚大量浑浊积液,几乎占胸腔近三分之一,已压迫肺部引发气胸,不符合普通肺炎的影像学特征。当天,他就被收治入院。
谜团逐渐被揭开:胸腔穿刺引流抽出浅棕黄色胸腔积液,血常规报告显示,嗜酸性粒细胞百分比高达50.2%,是正常范围上限的6倍多,胸腔积液常规中该指标更是飙升至97%。“这个指标太高了!结合他的症状,考虑寄生虫感染的嫌疑大,需要立刻排除。”该院感染(肺病)科李鑫副主任中医师说,在常见的食源性寄生虫中,肺吸虫感染引发的症状与小张的表现高度契合。
顺着寄生虫感染的思路,医生立刻追问饮食偏好。此时,陪同就诊的姐姐突然透露了关键信息:“我弟弟特别爱吃活珠子,天天当零食,前阵子还网购好几次生鱼片,一次能吃一大份!”这句话证实了医生此前的推测。
于是,医护人员加急将血液、胸腔积液样本送往宁波市疾病预防控制中心检测。3天后,结果出炉:肺吸虫抗体检测呈阳性,小张被确诊为肺吸虫病。

这些“危险美食”很多人爱
拒绝生食是预防关键
确诊后,张先生接受了规范驱虫治疗,同时引流胸腔积液。一周后胸腔积液大幅减少;两周后CT显示积液基本吸收,肺部功能恢复正常,顺利出院。
李鑫介绍,肺吸虫病是由并殖吸虫引起的地方性寄生虫病,国内主要流行卫氏、斯氏两种并殖吸虫。其传播路径十分明确:幼虫常寄生在淡水蟹、蝲蛄(小龙虾近亲)、部分淡水鱼体内,而活珠子(未充分加热的孵化鸡胚)如果被幼虫污染,也会成为重要传播载体。“当人生食或半生食这些被感染的食物后,幼虫会穿透消化道黏膜进入腹腔,再移行至肺部、胸腔等部位寄生,引发炎症反应和组织损伤,这也是小张出现大量胸腔积液和胸闷的核心原因。”
在临床中,肺吸虫病常被误诊为流感、肺炎、结核等疾病,延误治疗时机。这是因为这种疾病的隐蔽性极强,症状多样且不典型。除了胸腔积液、发热、胸闷,还可能表现为咳嗽、咳果酱样痰(典型症状)、腹痛、头痛、癫痫,甚至皮下结节。
“很多人追求活珠子、生鱼片的鲜美口感,却忽视了背后的寄生虫风险。”专家强调,预防肺吸虫病的核心是拒绝生食:淡水产品需彻底煮熟,中心温度需达到70℃以上并持续5分钟,芥末、白酒等调料无法有效杀灭寄生虫;活珠子作为可能的传播载体,同样需要完全煮熟后再食用。
如果出现持续发热、胸闷、腹痛等症状,且自行用药无效,尤其是有生食淡水产品、活珠子史的人群,需及时就医,并主动告知饮食情况,助力医生快速锁定病因,避免延误治疗。
来源:宁波晚报正规配资平台
元鼎证券_元鼎证券官网入口_股票配资推荐网提示:本文来自互联网,不代表本网站观点。